点击上方“转化医学网”订阅我们!
干货 | 靠谱 | 实用
导 读
最新发表于《Cancer Discovery》的一项研究表明,胰腺癌患者的胰腺中拥有更多的微生物,而这些微生物会促进肿瘤的生长并抑制免疫反应。通过抗生素消除胰腺癌中的菌群,可消除癌症的免疫抑制。
2011年10月5日,苹果公司创办人史蒂夫·乔布斯因患胰腺癌病逝,享年56岁。在哀悼之余,胰腺癌也走入了大众的视野。胰腺癌是一种恶性程度很高,诊断和治疗都很困难的消化道恶性肿瘤。其发病率和死亡率近年来明显上升。5年生存率<1%,是预后最差的恶性肿瘤之一。因此也被称为“癌中之王”。
胰腺癌主要分为两种,一种是较为常见的起源于胰腺导管的胰腺导管腺癌(Pancreatic ductal adenocarcinoma, PDA),即通常所说的“胰腺癌”。另一种是起源于胰腺内分泌激素细胞,即胰腺内分泌肿瘤(乔布斯所得的胰腺癌类型)。
3月22日发表于《Cancer Discovery》上的一篇名为“The Pancreatic Cancer Microbiome Promotes Oncogenesis by Induction of Innate and Adaptive Immune Suppression.”的研究结果表明,抗生素治疗能够通过消除胰腺癌小鼠模型中肠道和胰脏中的微生物,从而恢复免疫细胞识别癌细胞的能力,减缓肿瘤细胞的生长,并将胰腺癌细胞数量降低50%!
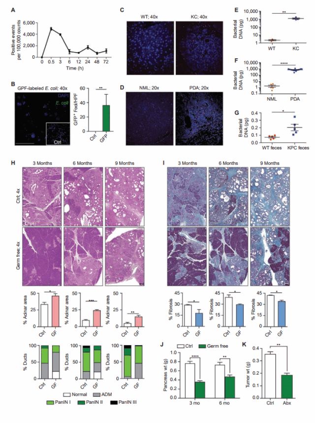
来自纽约大学医学院及Perlmutter癌种研究中心的研究小组发现,在小鼠和人类中,胰腺癌与正常的胰腺相比拥有更多更丰富的微生物菌群,而其中有些异常的菌群会释放出关闭免疫系统和促进癌症生长的细胞成分。
肿瘤胰腺中拥有丰富的微生物群
虽然胰腺癌主要是由于KRAS等基因变化的组合导致细胞异常生长而形成,但该研究结果显示,细菌会改变癌细胞周围的免疫环境,拥有这种异常菌群的胰腺癌患者体内的癌细胞生长速度明显比其他患者更快。
在pda承载宿主体内的菌群促进肿瘤进展和瘤内免疫抑制
既然细菌能使癌症细胞生长的更快,那如果用抗生素消除细菌,是不是能达到减缓肿瘤的生长的效果呢?
为此研究人员进行了进一步的实验,结果果然和猜测的没错。胰腺肿瘤中的“坏”细菌会引发免疫细胞检查点 – 免疫细胞上的传感器在接收到正确的信号时将其关闭。这些检查点通常起到防止免疫系统攻击人体自身细胞的作用,但癌细胞会蒙蔽检查点以关闭免疫反应来避免免疫细胞对它的攻击破坏。
而通过使用抗生素,研究人员发现免疫细胞检查点得以恢复,免疫细胞能够重新识别癌症细胞,同时,在消除了这些异常菌群后,胰腺癌的生长速度也逐渐开始减速。实验数据显示,口服抗生素也能使胰岛癌临床试验中失败的免疫疗法检查点抑制剂的效力增加了大约三倍。
虽然饮食,其他疾病或药物等环境因素也会导致个体的的菌群不同,但该研究证实胰腺癌中患有更多的细菌仍是不争的事实。同时,研究人员已开展新的试验,希望能够确认关闭癌细胞免疫反应的具体细菌种类,为以后新的细菌诊断测试,抗生素和免疫疗法的组合提供支持。
参考文献:
The Pancreatic Cancer Microbiome Promotes Oncogenesis by Induction of Innate and Adaptive Immune Suppression.
转化医学领域核心门户
识别图中二维码,点击关注
投稿、应聘医学编辑:
微信:vipmed360
商务合作
微信:zhyxkf
END
活动
推荐
转折点——生物医药招聘第一平台
过敏菌商城